Skip to content

Pizza Time

  • Home
  • Recipes
  • Terms & Conditions
  • Privacy Policy

Recipes

Recipes

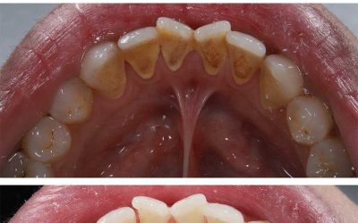
Łatwe sposoby na redukcję kamienia nazębnego i rozjaśnienie uśmiechu

Proste sposoby na redukcję kamienia nazębnego i rozjaśnienie uśmiechu… przy minimalnym wysiłku   Bądźmy szczerzy — nikt nie lubi zmagać…

April 13, 2026
Recipes

Jak cynk pomaga redukować plamy starcze

Jak cynk pomaga redukować plamy starcze i poprawiać zdrowie skóry   Jeśli chodzi o zdrową, promienną cerę, czasami najprostsze składniki…

April 13, 2026
Recipes

Wlałem biały ocet do spłuczki toalety i zostawiłem ją na noc po raz pierwszy od 15 lat. Oto co się stało

Dla wielu właścicieli domów łazienka to miejsce, które wymaga czystości i konserwacji. Są jednak w niej miejsca, które często pozostają…

April 13, 2026
Recipes

Przestań wyrzucać stare kartony po jajkach. Oto 10 pomysłowych trików, jak wykorzystać je w domu.

Kartoniki po jajkach często wyrzuca się bez zastanowienia, ale te skromne pojemniki kryją w sobie ogromny potencjał wykraczający poza ich…

April 13, 2026
Recipes

Leki na bazie lewamizolu wycofane z obrotu w Europie: co musisz wiedzieć

Dlaczego wydano nakaz zapłaty Europejska  Agencja Leków  (EMA)  podjęła decyzję o wycofaniu  z rynku powszechnego wszystkich osób zajmujących się  lewamizolu…

April 13, 2026
Recipes

Poznaj 10 skutków ubocznych metoprololu, które często są pomijane w rozmowach

Przyjmowanie metoprololu w celu leczenia chorób serca lub nadciśnienia tętniczego może początkowo wydawać się uspokajające, ale subtelne zmiany w codziennym…

April 13, 2026
Recipes

Co kolor moczu mówi o Twoim zdrowiu?

Wiele osób nie zwraca uwagi na kolor moczu, ale w rzeczywistości może on być ważnym wskaźnikiem stanu organizmu. Kolor moczu…

April 13, 2026
Recipes

Jedyne urządzenie gospodarstwa domowego, które po cichu podnosi rachunek za prąd

Jeśli Twój miesięczny rachunek za prąd wydaje się rosnąć, niezależnie od tego, jak bardzo jesteś ostrożny, nie jesteś sam. Wiele…

April 13, 2026
Recipes

8 trików z sodą oczyszczoną dla mężczyzn, które każdy facet powinien znać, aby zadbać o codzienną pielęgnację i komfort

Codzienne niedogodności, takie jak zapachy ludzkie, spocone buty i lekkie substancje wydzielane przez skórę, mogą dyskiretnie podkopywać ciebie, nawet jeśli…

April 13, 2026

Posts pagination

Previous 1 … 25 26 27 … 152 Next
Proudly powered by WordPress | Theme: Justread by GretaThemes.